Knee pain can gradually make everyday activities such as walking, climbing stairs, or standing for long periods difficult. You should not take these lightly, as they can be an alarming symptom of a serious condition such as osteoarthritis. It may slowly damage the protective cartilage within the knee joint, leading to stiffness, swelling, and discomfort over time. Doctors usually recommend treatments such as medication, physiotherapy, or lifestyle adjustments to manage these symptoms in the early stages.
When these approaches no longer provide sufficient relief, Total Knee Replacement surgery may be considered to improve joint function and support smoother movement. This procedure involves replacing the damaged parts of the knee joint with artificial components designed to reduce discomfort and restore mobility. Understanding when doctors recommend this procedure can help patients make informed decisions about their treatment.
When Do Doctors Recommend Knee Replacement?
Doctors recommend knee replacement when structural damage affects mobility and daily function. They usually consider surgery after conservative treatments fail to relieve symptoms.
Common clinical indications include:
- Osteoarthritis causes cartilage degeneration and joint stiffness.
- Rheumatoid arthritis produces chronic synovial inflammation.
- Post-traumatic arthritis following ligament injuries or fractures.
- Persistent knee pain during walking, standing, or rest.
- Reduced knee range of motion affects normal activities.
Orthopaedic specialists evaluate imaging scans, joint stability, and symptom severity before recommending surgery.
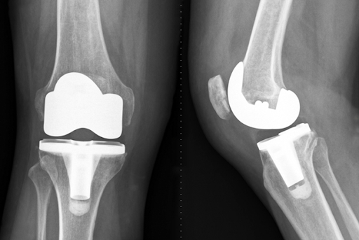
How Is TKR Surgery Performed?
KR surgery can feel less intimidating when patients are familiar with the procedure. At renowned hospitals such as BLK-MAX Super Speciality Hospital, surgeons follow a careful step-by-step process to replace the damaged knee joint and help restore mobility safely and comfortably.
Pre-Surgical Evaluation
Doctors begin with imaging tests such as X-rays or MRI scans. These tests help assess cartilage loss and joint alignment. Physicians also review blood reports and cardiovascular health before surgery.
Anaesthesia
Doctors administer spinal or general anaesthesia before the operation. This ensures the patient remains comfortable during the procedure.
Surgical Incision
The surgeon makes an incision at the front of the knee joint. This opening allows access to the damaged cartilage and bone.
Removal of Damaged Joint Surfaces
Surgeons carefully remove worn cartilage and small portions of bone from the femur and tibia. This preparation creates space for the prosthetic components.
Implant Placement
The surgeon attaches metal components to the prepared bone surfaces. A plastic spacer sits between these components to allow smooth movement.
Closure of the Surgical Site
The surgeon checks joint alignment and knee movement before closing the incision with sutures or staples.
Most knee replacement procedures take one to two hours.
Recovery and Rehabilitation After TKR Surgery
Recovery after TKR surgery focuses on restoring joint mobility and strengthening surrounding muscles. Doctors and physiotherapists guide patients through carefully planned rehabilitation.
Early Recovery Phase
Patients usually begin gentle knee movement within 24 hours after surgery. Early mobilisation improves circulation and lowers the risk of blood clots.
Physiotherapy and Muscle Strengthening
Physiotherapy plays a central role in recovery. Rehabilitation exercises help rebuild muscle strength and joint stability. Typical physiotherapy goals include:
- Improving knee bending and extension
- Strengthening quadriceps and hamstring muscles
- Supporting balance and walking ability
Regular therapy sessions gradually restore joint flexibility.
Returning to Daily Activities
After the TKR surgery, patients generally resume light daily activities within four to six weeks. Walking becomes easier as muscle strength improves. Complete recovery may take several months, depending on overall health and rehabilitation progress.
Expected Results After KTR Surgery
Knee replacement aims to reduce chronic pain and restore functional mobility. Most patients report noticeable improvement after rehabilitation. Common outcomes include:
- Patients may experience reduced pain during walking or standing.
- The procedure can improve knee alignment and overall joint stability.
- Many patients notice an increased range of motion in the knee joint.
- Greater independence during everyday activities is often achieved after recovery.
Modern implants often last for many years when patients maintain joint health and follow medical guidance.
Possible Risks and Considerations of TKR Surgery
Doctors discuss potential complications before recommending surgery. Although knee replacement is widely performed, some risks may occur. Possible complications include:
- Some patients may experience joint stiffness due to scar tissue formation.
- In rare cases, infection may develop around the implant site.
- Blood clots may occasionally form in the leg veins after surgery.
- Over time, gradual implant wear may occur after many years of use.
Regular follow-up visits allow doctors to monitor recovery and identify any concerns early.
Conclusion
Severe knee joint damage can affect mobility and make everyday activities difficult. When medicines, physiotherapy, or lifestyle changes do not provide sufficient relief, TKR surgery may be considered to help restore joint function. The procedure replaces damaged parts of the knee with artificial components that support smoother movement. With proper rehabilitation, medical guidance, and regular follow-up care, many patients experience improved mobility and greater comfort in daily life. Understanding the procedure, recovery process, and expected outcomes helps patients make informed decisions about knee replacement treatment.














